首頁
8歲小男孩竟長出「雙排牙齒」,牙醫:都是爸媽沒有顧好!」
 

觀看數:1473 人

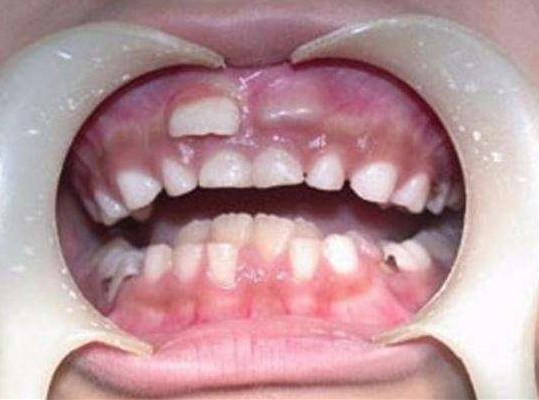
來自湖北武漢的黃女士最近非常擔心兒子,因為正在換牙的兒子竟長出了「雙排牙」。   黃女士的兒子「樂樂」今年8歲,他同學從6歲開始就陸續換牙了,他卻一直沒動靜,直到8歲後他才出現換牙的情形。由於舊的乳牙

 


8歲小男孩竟長出「雙排牙齒」,牙醫:都是爸媽沒有顧好!」 觀看數:1473 人

 

來自湖北武漢的黃女士最近非常擔心兒子,因為正在換牙的兒子竟長出了「雙排牙」。

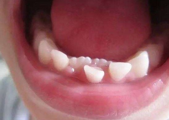
黃女士的兒子「樂樂」今年8歲,他同學從6歲開始就陸續換牙了,他卻一直沒動靜,直到8歲後他才出現換牙的情形。由於舊的乳牙沒及時脫落,而下排牙齒中間長出的兩顆新牙,被擠在一起了,中間還有半顆牙的空隙,看上去就像長了雙排的異形牙。醫生看過後,說這是兒童常見的狀況,但是責任是在家長身上。

醫生表示雙排牙的孩童情形越來越多。

sponsored ads
sponsored ads


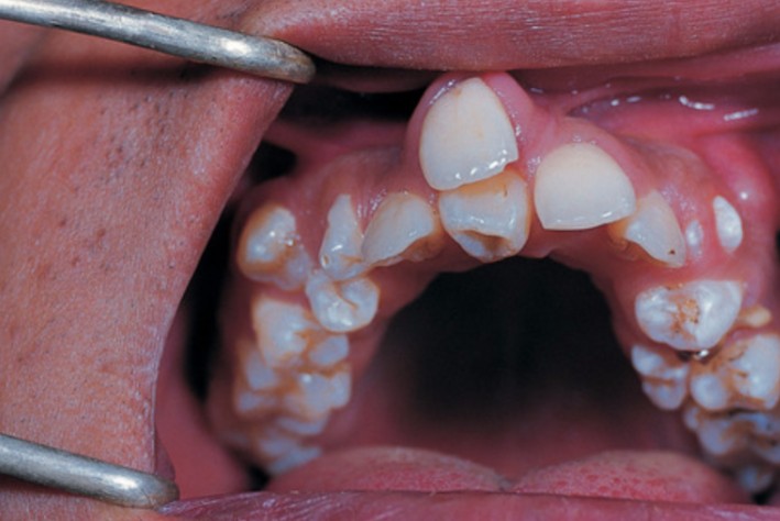
也建議換牙期的孩子應該多吃一些粗糧和未經細緻加工的食物,食品對乳牙的刺激能促使乳牙正常脫落,應該鼓勵孩子多吃些硬質粗纖維食物比如豆類、堅果類和粗糧。

所以偏愛甜食飲料,過於精緻的點心,長期吃不太需要咀嚼的食物都是造成「雙排牙」的主因。為了要預防,牙醫呼籲爸媽還是要仔細觀察,如果一有出現「雙排牙」的狀況一定要儘快找牙醫處理!不然之後長出來的牙可能會偏位。

來源:Toutiao

口腔健康很重要的,家長都應該注意到喔,分享給朋友看看吧。

 


 
 
   

 

 


 

 

熱門推薦

 

 




 

 


 

大家都在看



這裡滾動定格
首頁
8歲小男孩竟長出「雙排牙齒」,牙醫:都是爸媽沒有顧好!」
  

 

 

聲明:Love分享 生活網,網站內容均從網路上收集或網友提供,內容的完整性正確性本站不負任何法律責任,本站嚴禁使用者發表侵害版權或智慧財產之內容,

由於本站是受到「即時發表」運作方式所規限,故不能完全監察所有即時文章。

若有任何文章侵犯到您的權益,請瑱妥右方 著作權侵害通知書 ,本站將會在24小時內刪除或修正。

若文章或是內容有問題請 | 聯絡我們 | ,我們將會第一時間優先處理。

 |  使用注意事項 使用規則   | Facebook隱私權條款   | 隱私條款 | 侵權舉報 | 著作權保護 |   聯絡我們 |   廣告合作 | 模具管理